통합 검색

통합 검색

SpineㅣJoint

  FootㅣHand


Gangnam Champion Orthopedic Surgery

Hospital

- Limb Lengthening & Correction

- Spine & Joint

- Hand & Foot

- Rehabilitation

척추
목과 허리의 디스크 및 협착증의 대부분은 수술없이 시술이나 주사, 재활운동치료, 도수물리치료 등으로 효과가 있습니다.
강남챔피언 정형외과에서도 대부분의 디스크 및 협착증을 수술없이 치료하고 있으며, 꾸준한 관리가 필요합니다.

- 척추신경성형술
- 척추풍선확장술
- 척추고주파수핵성형술
- 척추내시경술
- 척추골절성형술
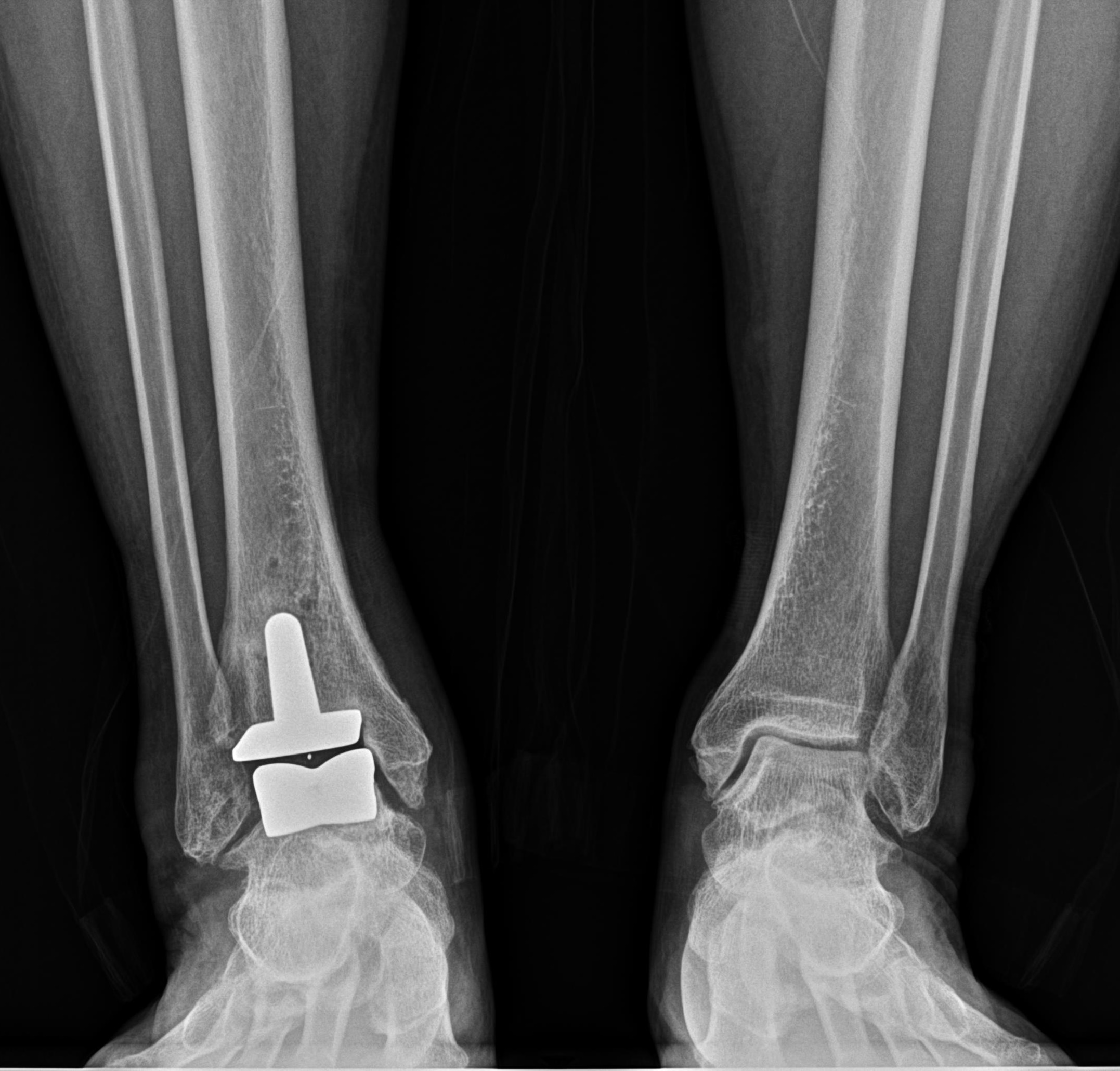
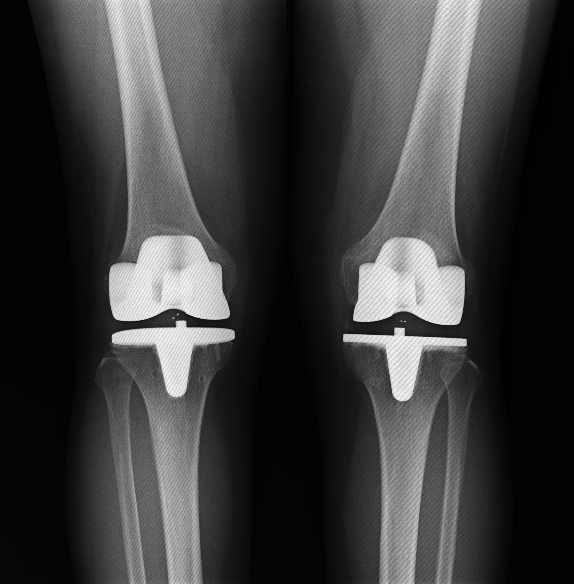
관절
무릎, 어깨, 팔다리, 팔꿈치, 손발, 엉치, 골반, 고관절 등 모든 부위의 관절 및 근육/인대파열, 연골손상, 골절을 치료합니다.
초기의 치료는 약물치료, 물리치료, 줄기세포 주사치료, 재활치료 등의 보존적 요법을 사용하고, 중등도 이상의 관절염이나 골절, 연골손상, 인대파열은 수술적 치료가 필요할 수 있습니다.

- 관절 내시경술(무릎, 어깨, 팔꿈치, 발목, 손목 등)
- 인공관절술(무릎, 어깨, 고관절, 팔꿈치, 발목 등)
- 줄기세포 연골재생 시술
- 골절 수술, 불유합 수술
- 타원 수술후 부작용 or 재수술 가능
수부ㅣ족부
손가락, 발가락, 발목 등 수부/족부의 관절 및 근육/인대파열, 외상, 골절, 변형을 치료합니다.
초기의 치료는 약물치료, 줄기세포 주사치료, 재활치료 등의 보존적 요법을 사용하고, 중등도 이상의 관절염이나 골절, 인대파열, 외상, 변형은 수술적 치료가 필요할 수 있습니다.

- 관절 내시경술(무릎, 어깨, 팔꿈치, 발목, 손목 등)
- 인공관절술(무릎, 어깨, 고관절, 팔꿈치, 발목, 발가락 등)
- 손가락/발가락 성형술, 수지접합
- 휜손발가락, 단지증, 무지외반증, 까치발, 요족, 족하수
- 타원 수술후 부작용 or 재수술 가능